Abstract
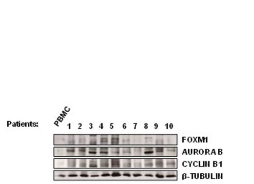
B-lymphoblastic leukaemic (B-ALL) patients that respond poorly to glucocorticoid therapy are predicted to relapse. An understanding of the biological mechanism underlying this poor responsiveness is therefore crucial for the development of more effective diagnostics and therapies. Forkhead box protein M1 (FOXM1) is a key transcriptional factor that regulates the expression of several genes that promote cell cycle progression, proliferation, DNA repair. Its expression is up-regulated in most cancer cells and is often linked to high proliferation rates and poor responsiveness to the therapy. In this context, we studied the role of FOXM1 in B-lymphoblastic leukaemia (B-ALL) in order to understand if FOXM1 could be a key target for leukaemia therapy. Our results showed that FOXM1 expression is higher in both B-ALL patients and cell lines compared to PBMC or CD19+ cells from healthy donors (Figure 1 A, 1 B).
FOXM1 overexpression in both B-ALL patients (A) and cell lines (B).
FOXM1 overexpression in both B-ALL patients (A) and cell lines (B).
Furthermore FOXM1 protein levels were higher in glucocorticoid-resistant cell lines (REH, MHH-CALL2, SEM) when compared to their glucocorticoid-sensitive counterparts (RS4;11, NALM-6), suggesting that FOXM1 may have a role in mediating chemotherapeutic drug sensitivity and resistance in B-ALL. Furthermore, depletion of FOXM1 activity in B-ALL cell lines by either transient knockdown or treatment with a FOXM1 inhibitor, thiostrepton, significantly decreases the cell viability of cells that poorly respond to glucocorticoid treatment (REH). The decrease of cell viability was accompanied by an induction of G2/M arrest of the cell cycle along with a reduction of the S phase. Moreover thiostrepton synergises with common chemotherapeutic agents used in B-ALL therapy increasing their efficiency and overcoming drug resistance.
All this data suggest that FOXM1 could be an important therapeutic target for overcoming the resistance to the conventional chemotherapeutic drugs.
No relevant conflicts of interest to declare.
Author notes
Asterisk with author names denotes non-ASH members.

