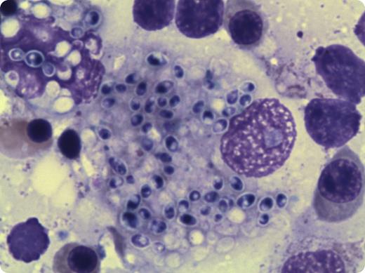
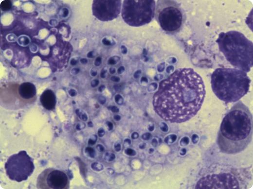
A 48-year-old male with history of alcohol abuse and untreated HIV presented with 1-week history of fever, abdominal pain, and diarrhea. Complete blood counts showed pancytopenia with hemoglobin of 71 g/L, total leukocyte count of 2.2 × 109/L, and platelet count of 92 × 109/L. Initial renal, liver, and coagulation studies were normal. CD4 count was 23/µL, and HIV viral load was 3 600 000/mL. Hepatitis serology, stool studies, blood, urine, and sputum cultures were negative. Peripheral blood smear demonstrated no intracellular organisms. Serum lactate dehydrogenase and blood and urine for Histoplasma antigen were not checked. Computed tomography of the abdomen and pelvis showed no evidence of lymphadenopathy or hepatosplenomegaly. Over the following 2 weeks, he developed a rapidly progressive multiorgan failure manifested by liver failure with coagulopathy, acute renal failure necessitating hemodialysis support, and respiratory failure requiring mechanical ventilation.
Bone marrow studies showed numerous histiocytes with intracellular fungal organisms morphologically consistent with histoplasmosis. He was promptly started on amphotericin B. Timely diagnosis of disseminated histoplasmosis requires a high index of clinical suspicion owing to the high mortality associated with it. Bone marrow studies may aid in the diagnosis and should be considered in the appropriate clinical scenario.
A 48-year-old male with history of alcohol abuse and untreated HIV presented with 1-week history of fever, abdominal pain, and diarrhea. Complete blood counts showed pancytopenia with hemoglobin of 71 g/L, total leukocyte count of 2.2 × 109/L, and platelet count of 92 × 109/L. Initial renal, liver, and coagulation studies were normal. CD4 count was 23/µL, and HIV viral load was 3 600 000/mL. Hepatitis serology, stool studies, blood, urine, and sputum cultures were negative. Peripheral blood smear demonstrated no intracellular organisms. Serum lactate dehydrogenase and blood and urine for Histoplasma antigen were not checked. Computed tomography of the abdomen and pelvis showed no evidence of lymphadenopathy or hepatosplenomegaly. Over the following 2 weeks, he developed a rapidly progressive multiorgan failure manifested by liver failure with coagulopathy, acute renal failure necessitating hemodialysis support, and respiratory failure requiring mechanical ventilation.
Bone marrow studies showed numerous histiocytes with intracellular fungal organisms morphologically consistent with histoplasmosis. He was promptly started on amphotericin B. Timely diagnosis of disseminated histoplasmosis requires a high index of clinical suspicion owing to the high mortality associated with it. Bone marrow studies may aid in the diagnosis and should be considered in the appropriate clinical scenario.
For additional images, visit the ASH IMAGE BANK, a reference and teaching tool that is continually updated with new atlas and case study images. For more information visit http://imagebank.hematology.org.

