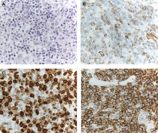
A 63-year-old female with relapsed acute myeloid leukemia (AML) after allogeneic stem cell transplantation reached CR2 after re-induction therapy followed by consolidation with donor lymphocyte infusions: 3 × 107/kg and 3 × 108/kg after 1 and 2.5 months, respectively. No signs of graft-versus-host disease were observed at this time. At 5 months follow-up, her blood count deteriorated: hemoglobin: 6.9 mmol/L, thrombocytes: 58 × 109/L and leukocytes: 1.37 × 109/L. Bone marrow aspirate was not evaluable. Bone marrow trephine biopsy showed relapse AML with hypercellularity in the H&E staining (×40 objective lens, panel A) and 20% CD34+ blast cells without any signs of maturation (panel B). Also, a high number of CD3 positive T cells (panel C) was noted, intermingling with the CD34 positive blasts, both staining positively with CD43 (panel D). Only supportive care was given. However, normalization of the blood count was observed in the following months and she developed graft-versus-host disease of the lung, which was treated with ciclosporin and prednisone. A bone marrow aspirate performed 3 months after relapse showed a third remission with 0.8% myeloid blasts. In retrospect, one could therefore consider the picture of the bone marrow trephine biopsy at the second relapse as graft-versus-leukemia in the bone marrow.
A 63-year-old female with relapsed acute myeloid leukemia (AML) after allogeneic stem cell transplantation reached CR2 after re-induction therapy followed by consolidation with donor lymphocyte infusions: 3 × 107/kg and 3 × 108/kg after 1 and 2.5 months, respectively. No signs of graft-versus-host disease were observed at this time. At 5 months follow-up, her blood count deteriorated: hemoglobin: 6.9 mmol/L, thrombocytes: 58 × 109/L and leukocytes: 1.37 × 109/L. Bone marrow aspirate was not evaluable. Bone marrow trephine biopsy showed relapse AML with hypercellularity in the H&E staining (×40 objective lens, panel A) and 20% CD34+ blast cells without any signs of maturation (panel B). Also, a high number of CD3 positive T cells (panel C) was noted, intermingling with the CD34 positive blasts, both staining positively with CD43 (panel D). Only supportive care was given. However, normalization of the blood count was observed in the following months and she developed graft-versus-host disease of the lung, which was treated with ciclosporin and prednisone. A bone marrow aspirate performed 3 months after relapse showed a third remission with 0.8% myeloid blasts. In retrospect, one could therefore consider the picture of the bone marrow trephine biopsy at the second relapse as graft-versus-leukemia in the bone marrow.
For additional images, visit the ASH IMAGE BANK, a reference and teaching tool that is continually updated with new atlas and case study images. For more information visit http://imagebank.hematology.org.
