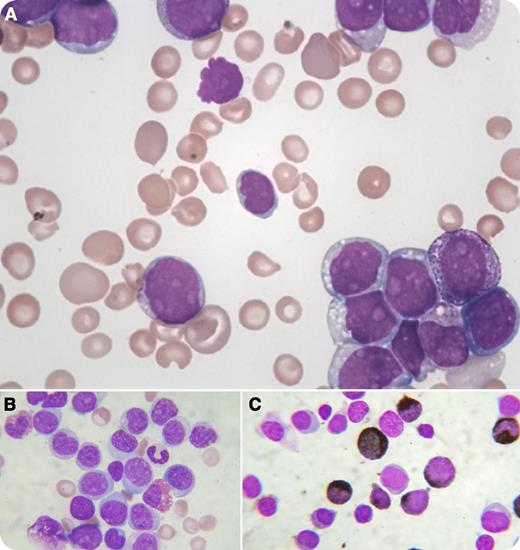
The complete blood count of a 40-year-old man showed a hemoglobin level of 6 g/dL, an erythrocyte count of 3.0 × 1012/L, a leukocyte count of 62 × 109/L with 90% blasts, and a platelet count of 12 × 109/L. The bone marrow smears were hypercellular, with a preponderance of blasts (90%) with dispersed nuclear chromatin and multiple prominent nucleoli and a variable amount of cytoplasm. Its granularity (panel A) had the occasional presence of an eosinophil precursor (panel B). Some blasts showed myeloperoxidase positivity (panel C). On flow cytometry, the CD45/side-scatter gated cell cluster revealed an immunophenotype of CD13, CD33, CD14, CD11b, CD11c, and CD64. A multiplex reverse transcription-polymerase chain reaction confirmed the case as acute myeloid leukemia with t(16;16)(p13.1;q22); CBFB-MYH11. However, in view of the presence of a few microcytes and target cells (panels A-B), high-performance liquid chromatography was performed, and a coexisting hemoglobin E disease was confirmed.
The striking features of a dominating disease often cast shadows on another coexisting disease, leading to underdiagnosis of the latter. A practice of searching for ambiguities beyond the obviousness provides us a more complete diagnosis. In this case of acute myeloid leukemia, the coexistence of hemoglobin E disease may not have a significant impact on the treatment protocol, but a complete diagnosis always contributes to a more personalized therapy.
The complete blood count of a 40-year-old man showed a hemoglobin level of 6 g/dL, an erythrocyte count of 3.0 × 1012/L, a leukocyte count of 62 × 109/L with 90% blasts, and a platelet count of 12 × 109/L. The bone marrow smears were hypercellular, with a preponderance of blasts (90%) with dispersed nuclear chromatin and multiple prominent nucleoli and a variable amount of cytoplasm. Its granularity (panel A) had the occasional presence of an eosinophil precursor (panel B). Some blasts showed myeloperoxidase positivity (panel C). On flow cytometry, the CD45/side-scatter gated cell cluster revealed an immunophenotype of CD13, CD33, CD14, CD11b, CD11c, and CD64. A multiplex reverse transcription-polymerase chain reaction confirmed the case as acute myeloid leukemia with t(16;16)(p13.1;q22); CBFB-MYH11. However, in view of the presence of a few microcytes and target cells (panels A-B), high-performance liquid chromatography was performed, and a coexisting hemoglobin E disease was confirmed.
The striking features of a dominating disease often cast shadows on another coexisting disease, leading to underdiagnosis of the latter. A practice of searching for ambiguities beyond the obviousness provides us a more complete diagnosis. In this case of acute myeloid leukemia, the coexistence of hemoglobin E disease may not have a significant impact on the treatment protocol, but a complete diagnosis always contributes to a more personalized therapy.
For additional images, visit the ASH IMAGE BANK, a reference and teaching tool that is continually updated with new atlas and case study images. For more information visit http://imagebank.hematology.org.
