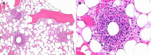
A 54-year-old man with a history of multiple myeloma presented with intermittent fevers, chills, fatigue, and weight loss for 1 month. A complete blood count showed leukopenia (white blood count: 1.4 × 109/L), mild anemia (hemoglobin: 12.4 g/dL), and thrombocytopenia (platelets: 100 × 109/L). Further testing revealed mildly elevated liver enzymes and splenomegaly. Of note, he had recently traveled throughout the southwestern United States, including Texas, for dove hunting on cattle ranches. The bone marrow biopsy revealed hypocellular marrow with panhypoplasia and multiple “doughnut” granulomas consisting of a central lipid vacuole surrounded by epithelioid histiocytes and a dense eosinophilic fibrin ring (panels A-B). Gomori-methenamine-silver and acid-fast-bacillus stains were negative on the biopsy. Serologic testing for fungal, HIV, cytomegalovirus (CMV), Treponema, and Brucella infections was negative. However, Coxiella burnetii serology testing by immunofluorescence assay showed phase 1 and 2 IgM titers >1:1024.
Q fever is an infection caused by the gram-negative intracellular bacterium C burnetii, which commonly results from the inhalation of aerosols that originate in infected birth products of domestic livestock and pets. Doughnut granulomas are highly evocative of Coxiella infections; however, they are not specific to Coxiella infections and have been seen in CMV, Epstein-Barr virus, Brucella and Salmonella infections, leishmaniasis, Hodgkin and non-Hodgkin lymphomas, and immune disorders.
A 54-year-old man with a history of multiple myeloma presented with intermittent fevers, chills, fatigue, and weight loss for 1 month. A complete blood count showed leukopenia (white blood count: 1.4 × 109/L), mild anemia (hemoglobin: 12.4 g/dL), and thrombocytopenia (platelets: 100 × 109/L). Further testing revealed mildly elevated liver enzymes and splenomegaly. Of note, he had recently traveled throughout the southwestern United States, including Texas, for dove hunting on cattle ranches. The bone marrow biopsy revealed hypocellular marrow with panhypoplasia and multiple “doughnut” granulomas consisting of a central lipid vacuole surrounded by epithelioid histiocytes and a dense eosinophilic fibrin ring (panels A-B). Gomori-methenamine-silver and acid-fast-bacillus stains were negative on the biopsy. Serologic testing for fungal, HIV, cytomegalovirus (CMV), Treponema, and Brucella infections was negative. However, Coxiella burnetii serology testing by immunofluorescence assay showed phase 1 and 2 IgM titers >1:1024.
Q fever is an infection caused by the gram-negative intracellular bacterium C burnetii, which commonly results from the inhalation of aerosols that originate in infected birth products of domestic livestock and pets. Doughnut granulomas are highly evocative of Coxiella infections; however, they are not specific to Coxiella infections and have been seen in CMV, Epstein-Barr virus, Brucella and Salmonella infections, leishmaniasis, Hodgkin and non-Hodgkin lymphomas, and immune disorders.
For additional images, visit the ASH IMAGE BANK, a reference and teaching tool that is continually updated with new atlas and case study images. For more information visit http://imagebank.hematology.org.
