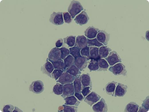
A 70-year-old woman presented with 4 weeks of progressive bilateral lower extremity weakness. She had past medical history of stage III diffuse large B-cell lymphoma treated with 6 cycles of R-CHOP chemotherapy, which was completed 6 months prior to presentation. All risk factors for central nervous system (CNS) relapse were negative except for thickening of left paranasal sinus. A computed tomography scan after chemotherapy revealed complete resolution of primary disease. On presentation, physical examination was unremarkable except for motor weakness of lower limbs. Magnetic resonance imaging lumbosacral spine revealed signal changes in the cauda equina and contrast enhancement in the lower subarachnoid space. Cerebrospinal fluid (CSF) cytology revealed large malignant lymphoid cells with abundant cytoplasm and prominent punched out nucleoli. Immunostains were positive for B-cell markers. A diagnosis of isolated leptomeningeal CNS relapse was made, as restaging scans were negative for disease at systemic sites. Intrathecal triple therapy (methotrexate, cytarabine, and dexamethasone) was given; subsequent CSF showed a remarkable reduction in the lymphoid cells and the patient clinically improved.
Involvement of the CNS is an infrequent but fatal complication of diffuse large B-cell lymphoma. It is widely accepted that due to the low incidence of CNS relapse, prophylactic measures in all diffuse large B-cell lymphoma patients cannot be recommended.
A 70-year-old woman presented with 4 weeks of progressive bilateral lower extremity weakness. She had past medical history of stage III diffuse large B-cell lymphoma treated with 6 cycles of R-CHOP chemotherapy, which was completed 6 months prior to presentation. All risk factors for central nervous system (CNS) relapse were negative except for thickening of left paranasal sinus. A computed tomography scan after chemotherapy revealed complete resolution of primary disease. On presentation, physical examination was unremarkable except for motor weakness of lower limbs. Magnetic resonance imaging lumbosacral spine revealed signal changes in the cauda equina and contrast enhancement in the lower subarachnoid space. Cerebrospinal fluid (CSF) cytology revealed large malignant lymphoid cells with abundant cytoplasm and prominent punched out nucleoli. Immunostains were positive for B-cell markers. A diagnosis of isolated leptomeningeal CNS relapse was made, as restaging scans were negative for disease at systemic sites. Intrathecal triple therapy (methotrexate, cytarabine, and dexamethasone) was given; subsequent CSF showed a remarkable reduction in the lymphoid cells and the patient clinically improved.
Involvement of the CNS is an infrequent but fatal complication of diffuse large B-cell lymphoma. It is widely accepted that due to the low incidence of CNS relapse, prophylactic measures in all diffuse large B-cell lymphoma patients cannot be recommended.
For additional images, visit the ASH IMAGE BANK, a reference and teaching tool that is continually updated with new atlas and case study images. For more information visit http://imagebank.hematology.org.
