Abstract
Abstract 4664
With the technological progress of hematopoietic stem cell transplantation (HSCT), transplant indications have gradually expanded in recent years, but the efficiency of transplantation still needs to be improved. How to further ensure the donor HSC engraftment, and improve transplant success rate and long-term survival of patients are critical issues for HSCT. Optimizing conditioning regimen is one of the most important methods. Recent reports showed that bone-marrow adipocytes, as negative regulators of the hematopoietic microenvironment, may inhibit hematopoietic recovery in clinical bone marrow transplantation. Healthy bone marrow microenvironment plays an important supporting role in normal physiological hematopoiesis and engraftment of recruited HSCs during the transplantation. However, no related reports are showed about the bone marrow adipogenesis during the myeloablative conditioning regimens by irradiation or myeloablative drugs. Herein, we reported the effects of irradiation or myeloablative drugs on the bone marrow adipogenesis in mice.
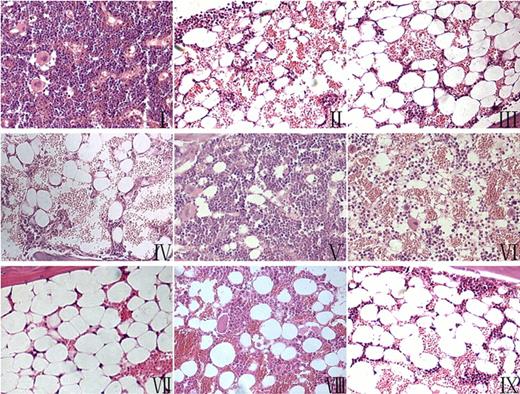
380 healthy 7–9 weeks old female BALB/c mice were randomly divided into control group(I), non-myeloablative total body irradiation group(II, 6.0Gy 60Co gamma ray, sublethal dose), myeloablative total body irradiation group(III, 8.5Gy 60Co gamma ray, lethal dose), Busulfan group (IV, 0.0256mg/(g.d) for 4days), Fludarabine group (V, 0.0012mg/(cm2.d) for 4 days), Cyclophosphamide group(VI, 0.0018mg/(cm2.d) for 4 days), and combined myeloablative drugs group(VII, Busulfan plus Fludarabine plus Cyclophosphamide for 4 days), myeloablative total body irradiation plus HSCT(VIII, 5.0 × 105 Sca-1+#x2610;, Lin#x2610;-, c-kit#x2610;+ cells separated from bone marrow by MACS kit per mouse ) group and combined myeloablative drugs plus HSCT(IX, 5.0 × 105cells) group, 40 mice for each group, others were used to separate HSCs. The general condition of all mice was continuously recorded: like mental state, vitality, coat color, body weight, diet, etc. Peripheral white blood cells(WBC) were counted and pathological changes of bone marrow were evaluated by hematoxylin and eosin stain under microscope on the 3rd, 6th, 9th, 12th, and 15th day (by picking 8 mice from every group each time) after treatment, respectively. PAS-8000 pathological image analysis system was used to measure the percentage of intramedullary fat cells area in sections.
In control group, mice general conditions were good during observation, and few adipocytes were spotted in bone marrow. WBC count of control group mice was (10.5±1.7) × 109 cells/L on the 3rd day after treatment and remained relatively stable thereafter. Compared with control group, the general condition of mice of experimental groups were worse, especially group III and VII, of which no mice survived after the 15th day. WBC count dropped rapidly in experimental groups, while the amount of adipocytes in bone marrow increased significantly on the 3rd day after conditioning regimens. This phenomenon is more prominent in group II, III, VII, VIII, and IX. Specifically, at Day 9, WBC count of group II, III, VII, VIII, and IX were (9.3±1.9) × 107, (4.8±1.1) × 105, (7.4±1.1) × 106, (2.6±0.7) × 106, (9.4±1.5) × 106cells/L, respectively, and the corresponding percentage of fat vacuoles area in bone marrow of these groups were (33.9±5.4)%, (37.6±5.6)%, (49.2±6.3)%, (35.8±5.2)%, (46.1±6.0)%, respectively. From Day 3 to Day 15, the adiposity of bone marrow increased gradually in experimental groups including group VIII and IX. The percents of fat vacuoles area for group VIII were (8.9±2.4)%, (17.2±2.7)%, (35.8±5.2)%, (59.7±7.8)%, (82.3±14.1)% at Day 3, 6, 9, 12, and 15, respectively. This indexs for group IX were (22.6±5.4)%, (33.6±5.6)%, (46.1±6.0)%, (75.8±11.3)%, (85.4±13.6)% correspondingly(Fig. 1). All these above indicate that hematopoietic microenvironment damage due to the myeloablative conditioning regimens may inhibit hematopoietic recovery.
Hematopoietic microenvironment is still deteriorating during myeloablative period and early stage of HSCT. Therefore, Proper methods to further improve the hematopoietic microenvironment during this period are important, which will contribute greatly to the patients to survive high-risk periods.
Histological observation of mouse bone marrow of each group on the 9th day (× 100).
Histological observation of mouse bone marrow of each group on the 9th day (× 100).
Liu:National Natural Science Fundation of China: Research Funding. Liu:National Natural Science Fundation of China: Research Funding.
Author notes
Asterisk with author names denotes non-ASH members.
