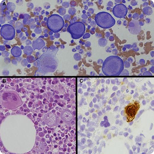
A 29-year-old female presented with unexplained anemia (hemoglobin 77 g/L) 5 years after orthoptic heart transplantation. She was being treated with high-dose immunosuppression. The blood film demonstrated a normochromic normocytic anemia. The white cell and platelet counts were normal. There was reticulocytopenia (1 × 109/L, 0.04%) and an elevated erythropoietin (356 U/mL; normal, 5-18.5 U/mL) with normal B12, folate, and iron studies. No evidence of thymoma or lymphoma was found as judged by radiologic testing and flow cytometry. A bone marrow examination showed atypical giant pronormoblasts with markedly reduced maturing granulopoiesis (panels A and B) that was characteristic of parvovirus-induced pure red cell aplasia. Adjacent megakaryocytes demonstrate the relative size of the atypical giant pronormoblasts in panel B. Immunohistochemistry for parvovirus B19 was positive on the marrow biopsy (panel C). Parvovirus B19 DNA was detected by PCR; however, serology (IgM/IgG) was negative. Treatment with intravenous immunoglobulin (1 g/kg) followed by monthly maintenance dosing (0.4 g/kg) has ameliorated her anemia.
Despite strong clinical suspicion of parvovirus infection in this immunocompromised patient, serologic testing was negative. The characteristic bone marrow examination findings and PCR testing were required to confirm the diagnosis. This case highlights the limited utility of parvovirus serology in immunocompromised patients.
A 29-year-old female presented with unexplained anemia (hemoglobin 77 g/L) 5 years after orthoptic heart transplantation. She was being treated with high-dose immunosuppression. The blood film demonstrated a normochromic normocytic anemia. The white cell and platelet counts were normal. There was reticulocytopenia (1 × 109/L, 0.04%) and an elevated erythropoietin (356 U/mL; normal, 5-18.5 U/mL) with normal B12, folate, and iron studies. No evidence of thymoma or lymphoma was found as judged by radiologic testing and flow cytometry. A bone marrow examination showed atypical giant pronormoblasts with markedly reduced maturing granulopoiesis (panels A and B) that was characteristic of parvovirus-induced pure red cell aplasia. Adjacent megakaryocytes demonstrate the relative size of the atypical giant pronormoblasts in panel B. Immunohistochemistry for parvovirus B19 was positive on the marrow biopsy (panel C). Parvovirus B19 DNA was detected by PCR; however, serology (IgM/IgG) was negative. Treatment with intravenous immunoglobulin (1 g/kg) followed by monthly maintenance dosing (0.4 g/kg) has ameliorated her anemia.
Despite strong clinical suspicion of parvovirus infection in this immunocompromised patient, serologic testing was negative. The characteristic bone marrow examination findings and PCR testing were required to confirm the diagnosis. This case highlights the limited utility of parvovirus serology in immunocompromised patients.
For additional images, visit the ASH IMAGE BANK, a reference and teaching tool that is continually updated with new atlas and case study images. For more information visit http://imagebank.hematology.org.
