Abstract
Abstract 5070
A case of Hemophagocytic Lymphohistiocytosis with Acute Myelofibrosis
A 60 year old previously healthy male was admitted for a four week history of non-productive cough, and intermittent fever which was getting worse since 1 week prior to presentation. He also had runny nose and nasal stuffiness 2 months prior to presentation. The patient also had significant weight loss of 30 lbs over the past month. Physical examination was remarkable for a temperature of 38°C. Patient was alert and oriented. No Lymphadenopathy or hepatosplenomegaly was found. Rest of the physical examination was otherwise unremarkable.
Laboratory findings on admission: hemoglobin 10.1 g/dl, white blood cell count 1000 /ml (with 58.5% neutrophils, 36.9% lymphocytes 3.4% monocytes), platelet count 111,000 /ml, reticulocyte count 1.3 % and an erythrocyte sedimentation rate 4 mm, total bilirubin 0.8 mg/dL (with 0.4 mg/dL conjugated), alkaline phosphatase 62 U/L, AST 113 U/L, ALT 137 U/L, triglyceride 388 mg/dL, LDH 513 IU/L, ferritin was > 2000 ng/mL, PT 12.2 sec PTT 26.8 sec and fibrinogen 154 mg/dl
No pathogens were isolated from throat, urine, feces, or blood. H1N1 testing; serological studies for hepatitis A, B, D, and E; Quantiferon test for tuberculosis; Serological studies for Human immunodeficiency virus (HIV), Cytomegalovirus (CMV), Epstein-Bar virus (EBV), parvovirus; antinuclear antibody, rheumatoid factor, lupus anticoagulant were all negative.
Peripheral blood examination revealed normochromic-normocytic anemia. There was no evidence of micro-angiopathy or other marrow infiltration.
A bone marrow biopsy was performed which showed a hypercellular marrow, with absence of myeloid precursors and decrease in erythroid cells. The predominant components were atypical megakaryocytes, plasma cells and eosinophils Reticulin stain showed marked increase in coarse reticulin. Occasional large histiocytes were visualized with engulfed lymphocytes, polymorphonuclear and red blood cells. Flow cytometry was negative for a myeloproliferative disorder.
The platelet and WBC count nadirs were 73,000/mL and 800/mL (53% polymorphonuclear cells) at days 5–7 of admission. He continued to have cytopenias with intermittent febrile episodes despite being on broad spectrum antibiotics and antifungals.
Based on pancytopenia, intermittent fever, elevated liver enzymes, very high ferritin level, high triglyceride level and evidence of hemophagocytosis on bone marrow exam a diagnosis of Hemophagocytic Lymphohistiocytosis was made. Patient received IV Ig for 2 days along with high dose steroids with prophylaxis with IV proton pump inhibitors, after which his fever resolved. LDH decreased from a peak of 900 to 300 and his leucopenia resolved with a WBC count of 3,000 /ml 5 days after 1st dose of IV Ig. Patient seemed to be responding very well to the treatment, but he had an episode of massive GI bleed on the fifteenth day of hospitalization with malena and he could not be resuscitated. No autopsy was performed.
We describe a case of possible secondary Hemophagocytic Lymphohistiocytosis (HLH) with Acute Myelofibrosis. A diagnosis of HLH was made based on the proposed diagnostic criteria, 2009 by Dr. Filipovich. Acute Myelofibrosis was evidenced by marked increase in reticulin stain with absence of splenomegaly or tear drop cells on peripheral blood smear. Viral infection could have been a trigger for HLH in this patient as he had runny nose 2 months before presentation. The patient responded very well to IVIg and high dose steroids as evidenced by an increase in WBC and platelet count, resolution of fever and decrease in LDH. HLH is a rare and potentially fatal condition with excessive activation of macrophages and T cells with an overwhelming systemic inflammatory reaction. Viruses are implicated as the most common triggers for secondary HLH. Our case adds to the literature on the rare disease and will help in understanding the disease better.
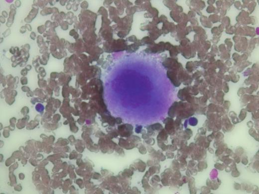
Bone marrow aspirate smear demonstartes poorly differentiated hypolobulated megakaryocyte with disperse chromatin pattern
Bone marrow aspirate smear demonstartes poorly differentiated hypolobulated megakaryocyte with disperse chromatin pattern
Reticulin stain of biopsy showing a moderate to marked increase in coarse reticulin fibers
Reticulin stain of biopsy showing a moderate to marked increase in coarse reticulin fibers
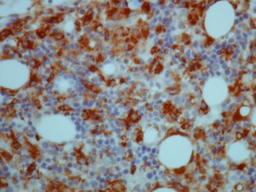
Immunohistochemical staining for CD68
No relevant conflicts of interest to declare.
Author notes
Asterisk with author names denotes non-ASH members.


