Abstract
Abstract 1421
More than 2 million Americans use cocaine each month. Levamisole is a veterinary antihelminthic agent that has been used as a cutting agent in cocaine and adds bulk to powdered cocaine. It has been used for the treatment of colon cancer, rheumatoid arthritis and nephrotic syndrome. According to the Drug Enforcement Administration (DEA) as of July 2009, 69% of seized cocaine lots coming into the United States contained levamisole as an added agent. Levamisole has recently been reported to cause neutropenia in cocaine abusers. We report a case of a severe cutaneous necrotizing vasculopathy, agranulocytosis with acquired protein S deficiency caused by tainted cocaine in an active abuser.
Palpable purpuric plaques on bilateral lower extremities.
Palpable purpuric plaques on bilateral lower extremities.
Necrotic ear helix.
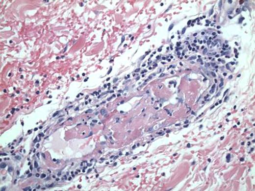
Skin biopsy showing small vessel thrombovasculopathy, organizing thrombus and mixed cell infiltrate.
Skin biopsy showing small vessel thrombovasculopathy, organizing thrombus and mixed cell infiltrate.
The acute onset of necrotic skin lesions following cocaine use, ANCA positivity, histopathology and neutropenia strongly suggest levamisole-induced vasculopathy. Although levamisole levels were not obtained, exposure from cocaine contamination is very likely. Levamisole is known to have immunostimulating effects with the production of autoantibodies like ANCA. Life-threatening agranulocytosis and a positive lupus anticoagulant have been reported in a few cases of prolonged levamisole use. The pathogenesis of agranulocytosis is hypothesized to either be a direct toxin effect or immune-mediated. Lupus anticoagulant has also been reported to cause a similar pattern of cutaneous necrosis. Clinicians should be aware of this kind of clinical presentation in active cocaine abusers and consider it as a significant emerging public health problem.
No relevant conflicts of interest to declare.
Author notes
Asterisk with author names denotes non-ASH members.


