Abstract
Fifteen patients with refractory AML were treated in a phase 1 study with SU11248, an oral kinase inhibitor of fms-like tyrosine kinase 3 (Flt3), Kit, vascular endothelial growth factor (VEGF), and platelet-derived growth factor (PDGF) receptors. Separate cohorts of patients received SU11248 for 4-week cycles followed by either a 2- or a 1-week rest period. At the starting dose level of 50 mg (n = 13), no dose-limiting toxicities were observed. The most frequent grade 2 toxicities were edema, fatigue, and oral ulcerations. Two fatal bleedings possibly related to the disease, one from a concomitant lung cancer and one cerebral bleeding, were observed. At the 75 mg dose level (n = 2), one case each of grade 4 fatigue, hypertension, and cardiac failure was observed, and this dose level was abandoned. All patients with FLT3 mutations (n = 4) had morphologic or partial responses compared with 2 of 10 evaluable patients with wild-type FLT3. Responses, although longer in patients with mutated FLT3, were of short duration. Reductions of cellularity and numbers of Ki-67+, phospho-Kit+, phospho–kinase domain–containing receptor–positive (phospho-KDR+), phospho–signal transducer and activator of transcription 5–positive (phospho-STAT5+), and phospho-Akt+ cells were detected in bone marrow histology analysis. In summary, monotherapy with SU11248 induced partial remissions of short duration in acute myeloid leukemia (AML) patients. Further evaluation of this compound, for example in combination with chemotherapy, is warranted.
Introduction
Acute myeloid leukemia (AML) occurs with a frequency of around 5 cases per 100 000 per year. Most patients initially receive intensive chemotherapy. However, patients with AML that is refractory to conventional therapy or has relapsed after conventional therapy have a poor prognosis. In addition, a subset of patients is unlikely to tolerate or benefit from induction chemotherapy as a consequence of advanced age or comorbidities. Median survival for this patient population is approximately 3 months. No standard therapy exists for such patients, and any treatment administered is associated with a low response rate and short duration of remission.1
Blasts from 60 to 70% of patients with AML express c-kit, the receptor for stem cell factor (SCF).2 SCF promotes growth of hematopoietic progenitors and acts as a survival factor for AML blasts.3 In addition, 60% to 80% of AML blasts express a related receptor, fms-like tyrosine kinase 3 (Flt3), the receptor for Flt3 ligand. Like c-kit, Flt3 mediates differentiation and proliferation of normal hematopoietic stem cells and provides proliferation and survival signals to AML blasts. Although most AML patients express the wild-type form of FLT3 (FLT3-WT), the leukemic blasts of 1% to 35% of patients express a mutated form of FLT3 that contains an internal tandem duplication (ITD) of the juxtamembrane domain (FLT3-ITD).4 This mutation leads to constitutive activation of the receptor. Expression of FLT3-ITD in myeloid cell lines induces their autonomous, cytokine-independent proliferation and enhanced their leukemogenicity in mice.5 Furthermore, recipients of bone marrow that had been retrovirally transduced with FLT3-ITD develop a myeloproliferative syndrome.6 In vitro studies suggest that inhibition of the mutated form of FLT3 by SU11248 results in apoptosis of leukemia cells.7
Recent evidence suggests that bone marrow neoangiogenesis plays an important role in the pathogenesis of AML.8-10 Experimental models imply that a paracrine feedback loop between AML blasts and endothelial cells involving vascular endothelial growth factor (VEGF) is operational.11 Furthermore, stromal secretion of platelet-derived growth factor (PDGF) may also be important in the biology and progression of AML.12 C-kit and the receptors for VEGF (fetal liver kinase 1/kinase domain–containing receptor [Flk1/KDR]) and PDGF (PDGFR) are all members of the split kinase domain family of receptor tyrosine kinases.
SU11248 is an orally available, multitargeted kinase inhibitor with selectivity for PDGF receptors, VEGF receptors, Flt3, and Kit.7,13 In preclinical experiments, SU11248 exhibits dose-dependent efficacy in both an FLT3-ITD AML xenograft tumor model and a bone marrow engraftment model. SU11248 and its equally active metabolite, SU12662, inhibits Flk1/KDR activity and PDGFR activity in tumor-bearing mice with a plasma concentration of approximately 50 to 100 ng/mL.13,14 Regression of a variety of tumor xenografts in mice has also been observed with oral treatment when these plasma concentration are achieved. This effect is in part mediated by inhibition of angiogenesis, which is driven by Flk1/KDR and/or PDGFR on the endothelium of the neovasculature.7
SU11248 treatment was limited in all phase 1 clinical trials to either 4 weeks with a rest period of 2 weeks or 2 weeks with a rest period of 2 weeks. At the time of study start, preliminary data from an ongoing phase 1 study in solid tumors indicated that the drug is well tolerated up to 50 mg daily for 4 weeks (28 days). With this dose, target plasma concentrations of 50 to 100 ng/mL, the preclinically derived target therapeutic concentration, were achieved and maintained. Additionally, evidence of clinical activity was observed in patients with solid tumors with 50 mg administered daily for 4 weeks. Therefore, this dose was chosen as starting dose for our study. We therefore initiated a phase 1 study of SU11248 in relapsed or chemotherapy-refractory AML to assess (1) its safety and tolerability and (2) its biologic and molecular activity in relation to the FLT3 genotype.
Patients, materials, and methods
Patient population.
A total of 16 patients were enrolled in the study in 4 participating centers. Patients had to receive a diagnosis of primary or secondary AML (any French-American-British [FAB] subtype) relapsed after at least 1 cycle of conventional chemotherapy; receive a diagnosis of AML refractory to at least 1 cycle of induction chemotherapy; or not be candidates for induction chemotherapy. Eligibility criteria also included the following: age of at least 18 years; Eastern Cooperative Oncology Group (ECOG) performance status lower than 3; a life expectancy of at least 4 weeks; adequate hepatic and renal function (hepatic transaminase level lower than 2.5 times the institutional normal upper limit [NUL], total bilirubin level less than 1.5 times the NUL, serum creatinine level below 1.5 times the NUL); recovery from acute toxicities of previous chemotherapy to National Cancer Institute Common Toxicity Criteria (NCI CTC) grade below 1(with the exception of alopecia); no other concurrent cytoreductive chemotherapy (hydroxyurea should have ceased at least 3 days prior to starting the study medication); no previous treatment with other investigational agents in the 4 weeks prior to therapy; no major surgery within 4 weeks from start; absence of any medical or psychiatric condition limiting full compliance, such as central nervous system (CNS) leukemia, active uncontrolled bacterial infection, known human immunodeficiency virus infection, grade 3 or 4 bleeding, uncontrolled arrhythmias, unstable angina, myocardial infarction, stroke, transient ischemia, pulmonary embolism, or non–catheter-related deep-vein thrombosis in the 6 months prior to enrollment into the study, insulin-dependent diabetes, or non–insulin-dependent diabetes with evidence of small vessel disease, known adrenal insufficiency, malabsorption syndromes, pregnancy, or breast feeding. Female patients were to be postmenopausal, surgically sterile, or taking effective contraception. Patients gave written informed consent according to international, national, and institutional guidelines before enrolling in the trial. The Ethical Committee of the Medical Association of Hamburg, as well as ethical committees at the site of each participating center, approved the study.
Dosage and drug administration
The starting dose of SU11248 was 50 mg given orally prior to breakfast daily for 4 weeks (28 days), followed by a 2-week rest period.
Two dose levels (50 and 75 mg) and 2 schedules (4 weeks of treatment followed by 2 weeks of rest [group A] or 1 week of rest [group B] were evaluated in 3 cohorts of patients in the phase 1 part of the study. The protocol was amended to shorten the rest period when preliminary pharmacokinetic and hematologic data from other studies in a similar AML patient population suggested a rebound of the peripheral blast counts at plasma concentrations below a threshold that was reached during the rest period. The first 3 patients in each group were treated with a starting dose of 50 mg daily. The dose escalation proceeded separately for the 2 groups. If none of the 3 patients treated with 50 mg daily experienced a dose-limiting toxicity (DLT) during the first cycle of therapy, the dose was planned to be escalated to 75 mg SU11248.
Adverse events were graded according to the NCI CTC, version 2.0.15 DLT was defined as any event related to the study drug, which included any one of the following: grade 3 or 4 nausea and vomiting refractory to antiemetic therapy; any other toxicity of grade 3 or greater not due to underlying leukemia; adrenal insufficiency as assessed by an adrenocorticotropic hormone (ACTH) stimulation test and confirmed with a repeat test obtained at least 14 days later.
Patients experiencing unacceptable toxicity were required to stop therapy and to be withdrawn from the study.
Pretreatment and follow-up studies
Prior to starting therapy, patients were evaluated for expression of c-kit and Flt3 on blast cells. AML cells were collected and genotyped for FLT3 mutations for retrospective stratification.
Medical history, performance status of the patient, concurrent medication, vital signs, and routine laboratory evaluation were recorded before treatment was started and were repeated twice weekly on the first cycle of therapy and weekly thereafter. Laboratory evaluation included complete blood count, biochemistry studies (including electrolyte levels; renal and hepatic function; coagulation; and cortisol, ACTH, pancreatic amylase, and lipase levels), urinalyses, and electrocardiograms (ECGs). An ACTH stimulation test was performed at baseline and on day 28 of each treatment cycle.
Standard criteria were used to evaluate hematologic response.16 A bone marrow aspirate was performed prior to the start of study therapy and on day 28 of the first cycle. Thereafter, a bone marrow aspirate had to be performed at the end (day 28) of cycles 2, 4, and 8.
A complete response (CR) was defined as absence of leukemic blasts from peripheral blood, fewer than 5% blasts in bone marrow, peripheral level of hemoglobin higher than 90 g/L (higher than 9 g/dL), platelet count greater than 109/L (greater than 100 000/μL), and absolute neutrophil count greater than 1 ×109/L (1000/μL), without the requirement of transfusion of red cells and platelets. A morphologic response (MorphR) had to fulfill the same criteria as a CR except for platelet count greater than 109/L (greater than 100 000/μL). Partial response (PR) was defined as a reduction of the absolute blast count in peripheral blood and bone marrow blast percentage by 50% compared with baseline. A minor response (MR) was defined as reduction in peripheral blood blasts or bone marrow blasts of at least 25% from baseline. Progressive disease (PD) was defined as 50% increase in the absolute number of blasts in the peripheral blood relative to baseline, or an increase in the absolute blast count of at least 10 000/μL. Stable disease (SD) was defined as failure to achieve an MR, yet not fulfilling the criteria for PD.
Patients achieving at least an MR could continue additional cycles of SU11248 therapy for up to 8 cycles in total, subject to safety and tolerability, or until they fulfilled other criteria for withdrawal. Patients with no response (progressing or stable disease) at day 28 were withdrawn from the study. The best response for each patient was recorded.
Pharmacokinetic assessments
Blood samples were collected in a 4.0 mL EDTA (ethylenediaminetetraacetic acid) vacutainer on day 1 before the first dosing with SU11248, 6 hours after dosing on day 1; and prior to dosing on days 3, 8, 11, 15, 18, 22, 25, 32, 35, 39, and 42 of cycle 1 (limited to day 35 in group B). Trough samples were collected weekly during cycles 2 and 3 to determine the levels of SU11248 and the active metabolite, SU12662. Blood samples were centrifuged at 4°C for 10 minutes; plasma was separated, split into two 1.5 mL Nalgene (Rochester, NY) cryovials, and stored at –70°C protected from light until analysis. Plasma concentrations of SU11248 and SU12662 were determined by means of a validated and sensitive liquid chromatography–mass spectrometry–mass spectrometry method, with a lower detection limit of 0.099 ng/mL for SU11248 and 0.088 ng/mL for its metabolite, SU12662.
Correlative laboratory studies
FLT3 genotyping. Blood or bone marrow samples were collected in 5 mL EDTA anticoagulant vacutainers before dosage and at day 28, transferred to a sterile 15 mL tube, and immediately frozen at –70°C. Genotype analysis for FLT3 mutations was performed in collaboration with DNA Sciences (Cambridge, United Kingdom). FLT3-ITD mutations were detected with the use of site-specific primers to exons 14 and 15 to amplify a 324-bp fragment in the wild-type FLT3 sequence as described.17 ITD mutations were detected by the appearance of a larger band in gel electrophoresis. To detect FLT3-D835 mutations, a 263-bp fragment was amplified by polymerase chain reaction (PCR), and EcoRv digested to produce 2 bands of 148 and 115 bp, indicative of wild-type Flt3 sequence as described.18 The presence of an uncut 263 fragment following digestion indicated loss of the EcoRv site and a D835 mutation. All mutations were confirmed by DNA sequencing.
Immunohistochemistry analysis. A bone marrow biopsy was performed before dosage and on the last day of dosing (day 28) in cycle 1. The biopsy was decalcified in EDTA, embedded in paraffin, sectioned at 4 μm, placed onto coated glass slides (Starfrost; American Master Tech Scientific, Lodi, CA), and fixed in 4% phosphate-buffered formalin. Fixed slides were then stained for each the following targets: phospho-Kit (pKit) (pY719) (Cell Signaling Technologies, Berverly, MA); Kit (DAKO, Carpinteria, CA); pAkt (pS473) (Cell Signaling Technologies); CD34 (Neomarkers, Fremont, CA); Ki67 (DAKO); pKDR (pY996) (Cell Signaling Technologies); KDR (Santa Cruz Biotechnology, Santa Cruz, CA); phospho–signal transducer and activator of transcription 5 (pSTAT5) (pY694) (Cell Signaling Technologies); and STAT5 (BD Transduction Labs, Lexington, KY). Another set of slides was also stained with Wright-Giemsa.
Analysis of Flt3, Kit, STAT5, and Akt phosphorylation. First, 10 mL whole blood was collected into EDTA and heparin anticoagulant vacutainers before dosage, 6 hours after dosage, and before dosage on days 3, 8, and 28. Samples were immediately lysed and analyzed for phosphorylation of Flt3 and STAT5 by immunoprecipitation and Western blot, as previously described.19 Analysis of Kit and Akt phosphorylation was performed in a similar fashion. Antibodies used for immunoprecipitation were as follows: Kit (Santa Cruz Biotechnology); Akt (Santa Cruz Biotechnology). Antibodies used for Western blot were as follows: pKit (pY719) (Cell Signaling Technologies), Kit (DAKO), pAkt (Ser473), and Akt (Cell Signaling Technologies).
ELISA analyses. Blood was collected into 10 mL heparinized tubes before dosage, 6 hours after dosage, and at days 3 and 28. The tubes were centrifuged (3500 rpm for 5 minutes), and plasma was isolated and frozen at –20°C until analysis. Plasma levels of human VEGF and Flt3 ligand concentrations were analyzed in triplicate by enzyme-linked immunosorbent assay (ELISA) following manufacturer's instructions (R&D Systems, Minneapolis, MN) as described.20
Slides were viewed with a Zeiss Axioplan microscope (Zeiss, Wetzlar, Germany) with a PlanApo 63/1 objective (magnification 40×; Zeiss) under oil immersion. Images were recorded with an MC 100 camera (Zeiss) using Kodak Echtachrome 64 T film (Kodak, Rochester, NY).
Results
Toxicity
The patient characteristics are described in Table 1. A total of 16 AML patients were enrolled in the study. Seven patients had not received prior antileukemic treatment. These patients were older than 70 years of age except for one 54-year-old male who had concomitant inoperable non–small cell lung cancer. The remainder had received at least 2 cycles of induction therapy. Patients were treated in 3 cohorts, receiving 50 mg or 75 mg of SU11248 daily for 4 weeks followed by a 2-week rest period (schedule A) or 50 mg SU11248 daily following by a 1-week rest period (schedule B). One patient enrolled in group B at 50 mg daily (patient 14) did not receive treatment for intercurrent illness. Of the 15 patients treated in the study, 9 patients (53%) discontinued owing to lack of efficacy (7 at 50 mg, group A; 2 at 50 mg, group B). Daily dosing for patient 15 was not possible owing to nausea, vomiting, and grade 1 diarrhea.
Although all patients experienced adverse events, most events were due to the underlying disease. The most common treatment-related adverse events are reported in Table 2. No DLTs were reported in patients at a dose of 50 mg daily.
Six of the 13 patients (46%) treated with 50 mg in both dosage schedules experienced treatment-related adverse events, which were mostly grade 1. Three patients (20%) experienced grade 2 drug-related events: edema of the lower limbs (patient 7); fatigue, taste disturbances, and dry skin (patient 4); or fatigue, nausea/vomiting, tenesmus, mouth ulcerations, gingivitis, circulation disorders, hematuria, proteinuria, and increased creatinine (patient 16). The events persisted throughout all treatment cycles without increasing in severity.
Both patients treated with 75 mg (patients 9 and 10) experienced treatment-related adverse events that were dose limiting. Patient 10 experienced grade 4 fatigue and hypertension and was immediately withdrawn from the study. Therefore, the 50 mg dose was considered to be the maximal tolerable dose. The dose for patient 9 was reduced from 75 to 50 mg during cycle 2, on the basis of safety data from other phase 1 studies. After dose adjustment, patient 9 completed one further cycle of treatment, after which he withdrew from the study owing to possible treatment-related cardiac failure.
Two patients experienced fatal bleeding (patient 1 from a concomitant non–small cell lung cancer, patient 13 from intracerebral bleeding). Both episodes were not completely explained by thrombocytopenia (causes of death are indicated in Table 3). Two patients (7 and 9) developed heart failure, one after myocardial infarction. The second patient had received a cumulative dose of mitoxanthrone of 120 mg/m2 without prior signs of cardiac insufficiency. One patient (patient 10) developed grade 4 hypertension. Fatigue was observed in almost all patients at the end of each cycle and was alleviated during the treatment-free interval. Fatigue was a DLT (grade 4) in one patient (patient 10, 75 mg cohort) and moderate (grade 2) in several others (patients 3, 11, and 12). Although fatigue due to study therapy is difficult to separate from anemia, concomitant infections, or constitutional symptoms from underlying disease, a relationship with SU11248 treatment remains likely.
FLT3 genotyping
Of the 16 enrolled patients, 2 presented with FLT3-ITD (patients 7 and 13) and 2 with FLT3-D835 (patients 3 and 8) mutated receptors at baseline. After 4 weeks of SU11248 treatment, 1 patient with D835 mutation (patient 3) achieved a MorphR and the other 3 achieved PRs. All 4 patients were regenotyped after completion of the first cycle. In 2 patients (patient 7, FLT3-D835, and patient 13, FLT3-ITD), the mutated receptors were no longer detectable. For both patients, a blood sample was used on day 28, whereas bone marrow was analyzed at baseline. However, given that blasts were present in peripheral blood of both patients at day 28, there is no reason to believe that the difference in sample type would have altered results.
Antineoplastic activity
Although this study was designed primarily to assess the tolerability of SU11248, patients were evaluated for response at the end of each cycle. One morphologic response (patient 3) and 2 partial responses (patients 7 and 8) at 50 mg and 1 partial response at 75 mg (patient 9) were observed in group A, while in group B 2 partial responses (patients 13 and 15) were reported (Table 1). Patients with Flt3-ITD or D835 mutations had much faster and steeper decreases in blast counts than patients with FLT3-WT (Figure 1). All 4 patients with FLT3 mutations achieved morphologic or partial responses compared with 2 partial responses in 7 evaluable patients without FLT3 mutations. Partial responders were required to have a 50% reduction in blood and bone marrow blast counts on day 28. All these responses were of short duration (1 to 3 cycles, corresponding to 4 to 16 weeks), with only 3 patients receiving up to 4 cycles of treatment (patients 7, 13, and 15). Patients with FLT3 mutations remained longer on therapy (mean, 2 cycles; range, 1-3 cycles) than patients without (mean, 1 cycle; range, 1-3 cycles). The evolution of peripheral blast count of all patients is presented in Figure 1. Interestingly, in 4 patients a rise in peripheral blood blasts was observed during the break period.
Evolution of blast counts of patients treated with SU11248. Blast counts of patients treated with 50 mg SU11248 for 4 weeks followed by 2 weeks of rest (top panel); with 50 mg for 4 weeks followed by 1 week of rest (middle panel); and with 75 mg daily followed by 2 weeks of rest. FLT3 mutational status is indicated in the legend.
Evolution of blast counts of patients treated with SU11248. Blast counts of patients treated with 50 mg SU11248 for 4 weeks followed by 2 weeks of rest (top panel); with 50 mg for 4 weeks followed by 1 week of rest (middle panel); and with 75 mg daily followed by 2 weeks of rest. FLT3 mutational status is indicated in the legend.
Pharmacokinetics
Plasma samples were collected on day 1 prior to dosing with SU11248 and thereafter on days 3, 8, 11, 15, 18, 22, 25, 32, 35 (last day for group B), 39, and 42 of cycle 1 and were analyzed for SU11248 and SU12662 concentrations. Although effort was made to collect samples according to the protocol, dosing noncompliance, dose adjustments, and withdrawal made analysis of these samples difficult.
As can be seen in Figure 2, most patients for whom data are available achieved the preclinically determined plasma concentration range of 50 to 100 ng/mL of combined SU11248 and SU12662, in cycle 1. Although the data from cycles 2 and 3 are too sparse for analysis, the data from other clinical trials indicate that plasma concentrations of SU11248 and SU12662 remain consistent from cycle to cycle.21 Thus, AML patients in this study achieved the target plasma concentrations similarly to patients treated across other SU11248 studies.
Pharmacokinetics. Plasma concentrations of combined SU11248 and its equally active metabolite SU12662 during cycle 1 from evaluable patients. Samples were taken before the regular morning dose.
Pharmacokinetics. Plasma concentrations of combined SU11248 and its equally active metabolite SU12662 during cycle 1 from evaluable patients. Samples were taken before the regular morning dose.
Correlative studies
Modulation of Flt3. We have previously shown that administration of a single dose of SU11248 can inhibit Flt3 phosphorylation in peripheral blood samples from AML patients.19 Blood was collected before dosage at 6 hours and on days 3, 8, and 28 during cycle 1 of this study for analysis of Flt3 protein levels and phosporylation. Samples from 5 patients, with highest baseline blasts counts, were analyzed for Flt3 phosphorylation by immunoprecipitation and Western blot analysis (patients 8, FLT3-ITD; 13, FLT3-ITD; 2, FLT3-WT; 3, FLT3-D835; and 7, FLT3-D835). Three of these 5 patients had detectable levels of Flt3 phosphorylation and protein expression at baseline (patients 3, 8, and 13) and were considered evaluable for analysis of Flt3 inhibition, as previously described.19 Following SU11248 administration, all 3 patients showed decreased Flt3 phosphorylation with no significant change in Flt3 protein through day 3 for patients 8 and 13 (FLT3-ITD) and through day 8 for patient 3 (FLT3-D835), relative to baseline. Flt3 protein levels decreased by day 28 in all 3 patients, concurrent with disappearance of blasts from the analyzed samples. Particularly in patients 8 and 13, phosphorylation of the immature lower species of Flt3 decreased to 24% or 65% of baseline intensity, respectively, at 6 hours after dosage on day 1, with no significant change in Flt3 protein levels (Figure 3). Similar results were observed after a single dose of SU11248 in several ITD patients.19
Analysis of Flt3 phosphorylation. Western blot analyses for phosphorylated and total Flt3 of patient no. 13 (Flt3-ITD) (panel A) and patient no. 8 (Flt3-D835) (panel B). Negative control represents whole blood lysate from a healthy donor, and positive control represents whole blood lysate from a healthy donor spiked with an Flt3-expressing cell line. C indicates cycle; D, the day of the cycle when blood was drawn; and pY591, flt3 phosphorylated at tyrosine 591.
Analysis of Flt3 phosphorylation. Western blot analyses for phosphorylated and total Flt3 of patient no. 13 (Flt3-ITD) (panel A) and patient no. 8 (Flt3-D835) (panel B). Negative control represents whole blood lysate from a healthy donor, and positive control represents whole blood lysate from a healthy donor spiked with an Flt3-expressing cell line. C indicates cycle; D, the day of the cycle when blood was drawn; and pY591, flt3 phosphorylated at tyrosine 591.
The remaining 2 patients tested were not evaluable for inhibition of Flt3 phosphorylation; Flt3 protein was barely detectable at baseline in patient 2, but subsequently increased concurrent with the rebound in blasts, while patient 7 had very low levels of Flt3 protein at all time points. These data clearly show that SU11248 treatment was associated with inhibition of Flt3 phosphorylation that preceeded loss of Flt3 protein owing to decreased AML blasts in the sample.
Modulation of VEGF and Flt3 ligand levels in plasma. Flt3 ligand (FL) and VEGF plasma levels were analyzed by ELISA at baseline and at day 28. For both ligands, plasma levels increased dramatically in most patients by day 28 (Figure 4). No correlation with response or other clinical events, such as rebound of blasts, was apparent. In other phase 1 trials in advanced malignancies, increased VEGF levels have also been noted following SU11248 administration22 and may reflect hypoxia-induced VEGF and/or a positive feedback mechanism that is induced following receptor inhibition. A similar increase in plasma VEGF levels was apparent only at SU11248 concentrations higher than 50 ng/mL in these studies. The significance of the increases in FL is less clear, but may have a similar basis.
Plasma concentrations of VEGF and Flt3 ligand. ELISA determinations of plasma levels of VEGF (A) and Flt3 ligand (B) taken pretreatment (□), on day 8 (▨) , and on day 28 (▪) of the first cycle in all patients on treatment.
Plasma concentrations of VEGF and Flt3 ligand. ELISA determinations of plasma levels of VEGF (A) and Flt3 ligand (B) taken pretreatment (□), on day 8 (▨) , and on day 28 (▪) of the first cycle in all patients on treatment.
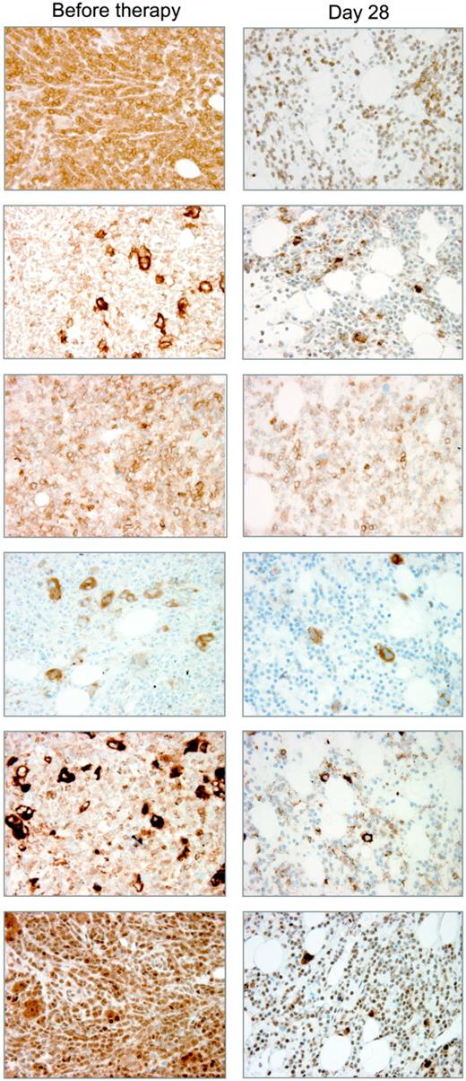
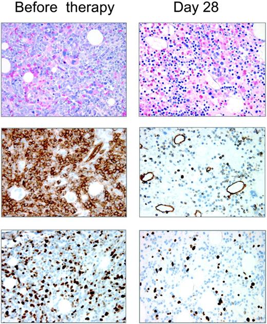
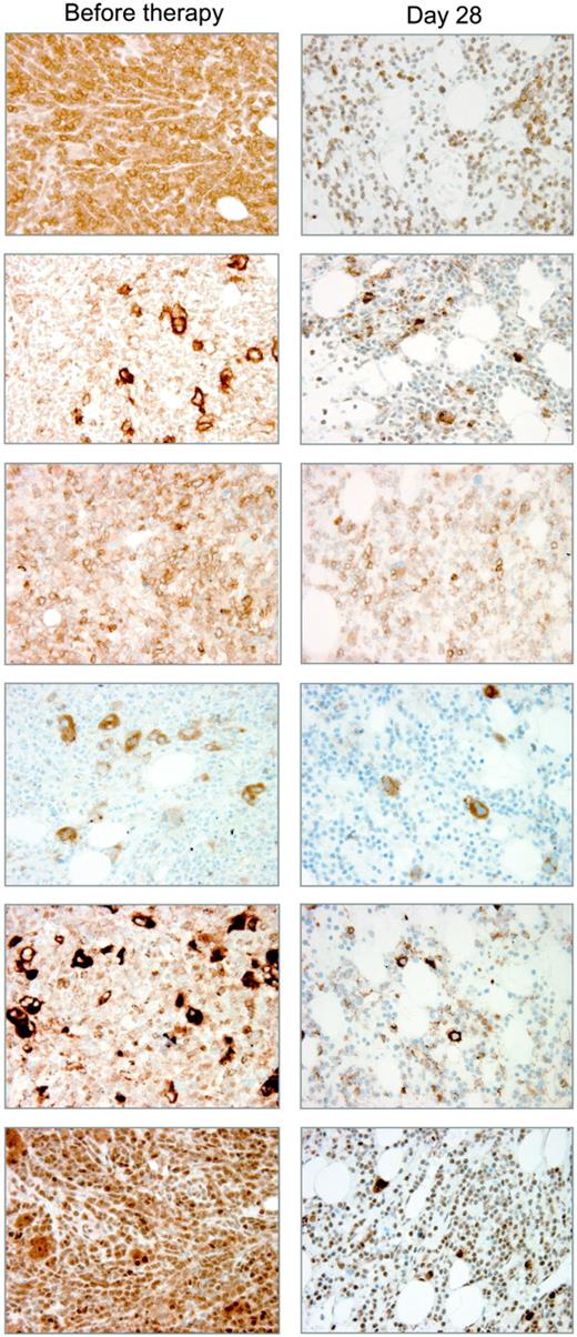
Immunohistology of bone marrow slides. Bone marrow biopsy slides were obtained before dosage and at day 28 of cycle 1 and stained for CD34, Ki67, pKit (Y719), Kit, pKDR (Y996), KDR, pAkt (S473), pSTAT5 (Y694), and STAT5. Owing to the variability in cellularity between patients and weak or absent staining of pretreatment samples, an overall statistical analysis of these markers was not reliably possible. Therefore, the overall evaluation of patient 13 is reported as an example of the effect of treatment on the various markers studied (Figures 5 and 6). The results can be summarized as follows: The majority of cells in bone marrow and sinusoidal endothelium strongly expressed CD34 before dosage. At day 28, there was a significant reduction in the number of cells expressing CD34 while the sinusoidal endothelium showed a very strong increase in CD34 staining, suggesting a loss of blasts. At day 28, we noted a modest decrease in Kit phosphorylation and protein (the decrease in Kit protein was found to be in agreement with Western blot data, not shown), a strong reduction in KDR phosphorylation and protein, and a strong decrease in pSTAT5 and Ki67, suggesting possible decrease in proliferation by SU11248. Also a strong decrease in pAkt was observed. It is important to note that the cellularity also decreased, although viable leukemic cells were still detectable.
Bone marrow histology of patient no. 13. Bone marrow biopsies of patient no. 13 (FLT3-ITD) taken pretreatment and on day 28 of cycle 1 were stained with Wright-Giemsa, CD34, and Ki-67 (magnification × 400).
Bone marrow histology of patient no. 13. Bone marrow biopsies of patient no. 13 (FLT3-ITD) taken pretreatment and on day 28 of cycle 1 were stained with Wright-Giemsa, CD34, and Ki-67 (magnification × 400).
Immunohistology of bone marrow biopsies of patient no. 13. Immunohistochemistry of bone marrow biopsies of patient 13 collected before therapy and on day 28 of first cycle. The bone marrow sections were stained for total and phosphorylated forms of VEGFR-2, c-kit, and the phosphorylated forms of the signal transduction intermediates STAT5 and Akt (magnification × 400).
Immunohistology of bone marrow biopsies of patient no. 13. Immunohistochemistry of bone marrow biopsies of patient 13 collected before therapy and on day 28 of first cycle. The bone marrow sections were stained for total and phosphorylated forms of VEGFR-2, c-kit, and the phosphorylated forms of the signal transduction intermediates STAT5 and Akt (magnification × 400).
Discussion
Targeted therapy is successful in malignant diseases where specific genetic alterations, such as the bcr/abl translocation in chronic myelogenous leukemia (CML), c-kit mutations in gastrointestinal stromal tumors (GISTs), or PDGFR translocations in chronic myelomonocytic leukemia (CMML), can be directly addressed.23-25 In AML, FLT3 mutations, either ITD or catalytic domain point mutations, are found in about 25% to 30% of cases. These mutations lead to constitutive activation of Flt3 receptors and confer a worse prognosis.26-28 In a preceding single-dose study in patients with AML, plasma concentrations of SU11248 as low as 30 ng/mL could inhibit Flt3 phosphorylation in patients with Flt3-ITD mutations for several hours in vivo, whereas concentrations above 100 ng/mL were required to consistently impede phosphorylation of the WT receptor.19 In the current study, AML patients with mutated FLT3 responded better than patients with WT FLT3. All patients with FLT3 mutation achieved morphologic or partial remissions as compared with 2 of 7 evaluable patients with WT leukemia. Patients with mutated FLT3 stayed longer on treatment; however, the duration of response was short in all patients (mean duration of treatment, 2 cycles in mutated versus 1 cycle in wild type). In 4 patients (2 FLT3-ITD and 2 FLT3-D835), FLT3 mutational status could be re-evaluated after 4 weeks of therapy with SU11248. In 2 cases, FLT3 mutations were lost. Similar observations have been described in 2 recent publications where FLT3 mutations could not be detected after relapse from conventional chemotherapy in several patients.29,30 The authors concluded that FLT3 mutation is a late event in the pathogenesis of AML and that several subclones with and without these mutations existed at diagnosis. It is possible that therapy with SU11248 may preferentially inhibit clones with FLT3 mutations and that wild-type clones may be only partially suppressed and give rise to relapses or that other non–FLT3-driven mutations emerge after suppression of FLT3-mutated clones. These observations suggest that combination therapy of SU11248 with agents with different mechanisms of action, for example, chemotherapeutics, might be crucial to achieving the goal of disease eradication.
Strong emphasis was put on translational research in the conception of this AML study. One advantage of studying targeted therapy in an AML population lies in the availability of malignant cells from blood or bone marrow, allowing the direct investigation of the drug's ability to successfully inhibit target receptor and known downstream signaling intermediates. Our results indicate that the autophosphorylation of Flt3 can indeed be successfully inhibited in a clinical setting of orally administered SU11248. Analysis of phosphorylation of Flt3 was carried out in 5 patients, 3 of whom had detectable Flt3 phosphorylation at baseline. In all 3 patients, modulation of Flt3 phosphorylation was observed, indicating therapeutic intracellular concentrations of SU11248 in AML blasts under the chosen regimen. Since constitutively activated Flt3 leads to phosphorylation of STAT5 and Akt,5 bone marrow biopsies were analyzed by immunohistochemistry. Consistent with the inhibition of Flt3, a decrease in cellularity and a reduction of CD34+ cells and of Ki-67 expression were found. Loss of pAkt+ and pSTAT5+ cells, especially in the bone marrows of patients with mutated FLT3, represents an additional indication of receptor blockade and serves as an in vivo confirmation of prior in vitro investigations, which identified STAT5 as the principal intracellular intermediate in AML patients with mutated Flt3.5,31 As further evidence of target receptor inhibition, increase in plasma concentrations of the respective ligands, Flt3L and VEGF, were observed. These increases may represent a physiologic reaction to receptor blockade. Both ligands were probably secreted by bystander cells since the number of blasts decreased substantially during treatment in most patients, and reduction of VEGF m-RNA expression by quantitative PCR under therapy with a related agent, SU5416, was observed in AML blasts in a different trial (data not shown).32 Furthermore, similar increases of VEGF plasma levels were found in patients with solid tumors treated with SU11248.33 Taken together, clear evidence of molecular drug effects was found in most patients.
Comparison of the efficacy and toxicity profile of SU11248 with related compounds remains difficult because only small case studies have been published to date for the most relevant compounds. We have recently reported our experience with the kinase inhibitor SU5416.32 Owing to the twice weekly administration of SU5416, therapeutic plasma levels could be achieved only temporarily, leading to strong increases of blast counts in 17 of 42 patients despite continuous therapy. This is in contrast to the current SU11248 study where all patients could be treated for at least 4 weeks. Furthermore, no responses were noted in patients expressing mutated Flt3 in our SU5416 study, suggesting insufficient blockade of this target in vivo with the schedule employed. Recently, results of CEP-701 treatment of 14 patients with refractory AML with mutated FLT3 have been published.34 Five patients had reductions of blood and bone marrow blasts. This is in line with our experience with SU11248, although in our study all patients with FLT3 mutations achieved partial responses.
SU11248 was well tolerated by the majority of patients. Frequent grade 1 and 2 side effects included nausea, vomiting, edema, or taste disturbances, but did not prevent continuous treatment. Rare severe side effects were 2 fatal bleeding episodes, cardiac insufficiency, hypertension, or hematuria and proteinuria. Some of these side effects have also been observed in several published trials with bevacizumab.35,36 Especially severe bleeding from lung cancer lesions were described in several patients, although spontaneous bleeding due to disease progression could not be excluded. Therefore, these side effects may be inherent to a blockade of VEGF signaling. Another side effect needs to be mentioned: namely, fatigue. However, it is difficult to evaluate this effect in a severely ill population, such as patients with refractory AML. But fatigue has also been observed in several phase 1 or 2 studies of SU11248 in patients with solid tumors. This potential drug effect needs further attention in ongoing phase 2 studies with SU11248.
A 2-week wash-out period was chosen between cycles for safety reasons. In animal models of chronic dosing, histologic changes occurred in organs such as the adrenal gland and pancreas. In this trial, this interruption led to almost complete elimination of SU11248 and SU12662. This was accompanied by an increase in blast counts in 4 of 7 responding patients during the end of the treatment-free interval. After reinstitution of therapy, blast counts dropped again. In patients where samples were analyzed for Flt3 phosphorylation, Flt3 was phosphorylated on rebounding blasts. These data suggest that SU11248 decreased proliferation but did not elicit a complete cytotoxic effect. Therefore, the protocol was amended to include a cohort with a 1-week wash-out period between cycles with the goal of keeping the drug concentration at a therapeutic level for a greater period of time. One patient received 3 cycles of therapy with a reduced rest period. No increase in blast counts was observed during the pause; therapy was well tolerated; and no accumulation of SU11248 was seen during repeated cycles. Therefore, in fast-proliferating malignancies, such as AML, a reduced wash-out period may be necessary to prevent regrowth of malignant cells.
In summary, SU11248 shows molecular and clinical activity in AML. Patients with FLT3 mutations respond better than those with wild-type receptors. However, responses are of short duration. It remains to be seen if the addition of SU11248 to conventional AML therapy can improve treatment outcome.
Prepublished online as Blood First Edition Paper, September 30, 2004; DOI 10.1182/blood-2004-05-1846.
Supported by Sugen/Pharmacia.
Several of the authors (A.M.O'F., C.L.B., R.A., W.C.M., J.M.C., S.G.L., W.H., P.S.) were employed at Sugen/Pharmacia or (N.M.B., G.M.) are employed at Pharmacia Italia S.pA, Nerviano, Italy, whose potential product was studied in the present work.
Presented in part at the 43rd meeting of the American Society of Hematology in San Diego, CA, in December 2003.
The publication costs of this article were defrayed in part by page charge payment. Therefore, and solely to indicate this fact, this article is hereby marked “advertisement” in accordance with 18 U.S.C. section 1734.











