The mixed lineage leukemia gene MLL, a histone methyltransferase and the human homolog of Drosophila trithorax, is rearranged in a variety of acute lymphoid and myeloid leukemias. Over the past 2 years great progress has been made in understanding the mechanism by which MLL fusion proteins transform. MLL binds to promoters (and probably other sequences) of Hox genes such as Hoxa7 and Hoxa9 to maintain their expression.1,2 These Hox proteins regulate hematopoiesis and are normally expressed only in early hematopoietic progenitors. MLL fusion proteins also directly up-regulate Hox expression but in contrast to the wild-type MLL do not allow for the normal down-regulation of Hox expression.1,3,4 This persistent expression of Hox genes along with expression of another up-regulated Hox cofactor, Meis1, appears to be necessary and sufficient to cause leukemia.4 This is supported by previous work from the Cleary laboratory that showed that MLL-ENL (eleven-nineteen leukemia) could not transform Hoxa9 knockout bone marrow.5 Furthermore, using a conditionally transforming version of MLL-ENL, collaborator Robert Slany's laboratory and mine found that expression of Hoxa9 plus Meis1 was sufficient to completely replace the gain of function activity of MLL-ENL.4
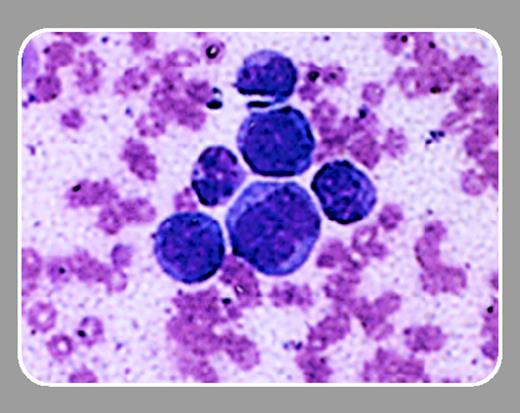
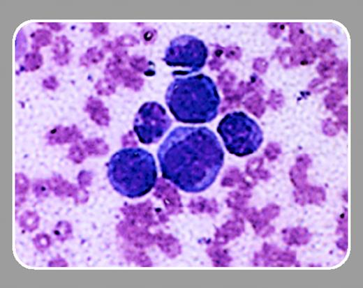
It was all beginning to look pretty simple—that is until the paper by So and colleagues (page 3192) in this issue of Blood. The authors found that, in contrast to MLL-ENL, another MLL fusion protein, MLL-GAS7, was able to transform Hoxa7 or Hoxa9 knockout bone marrow. One possible explanation is that the 2 fusion proteins have intrinsically different mechanisms of action. MLL-ENL, a commonly occurring translocation, fuses MLL to a potent transcriptional transactivator. MLL-GAS7 appears to transform through dimerization of the truncated MLL molecule.6 While both MLL-ENL and MLL-GAS7 up-regulate Hox genes, it is possible that the dimerized form of MLL activates additional targets. In the study by Zeisig et al,4 MLL fusion proteins up-regulated a number of putative oncogenes outside the Hox genes, such as Lmo2, Flt3, and N-Myc, that possibly contribute to transformation. The findings of So et al do not appear to be unique to MLL fusion proteins that transform by dimerization because studies of Mll-AF9 knock-in mice from John Kersey's laboratory show that this fusion protein, which is very similar to ENL, also develops leukemia in the absence of functional Hoxa9.7 FIG1
What to make of all this? Perhaps the most likely explanation is that Hox genes still are the critical targets; however, MLL fusion proteins up-regulate multiple Hox genes (including Hoxa5, Hoxa7, Hoxa9, Hoxa10, and Meis1 among others), and under the right conditions loss of any individual Hox protein can be compensated for by expression of the others. This work raises serious questions about whether developing therapy directed against any individual Hox protein would be successful. Using powerful tools like knockout mice and RNAi, it should not be long until we know the answer.

