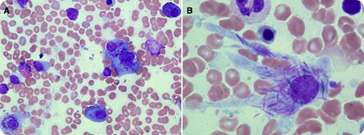
A 56-year-old woman with a history of dyslipidemia and hepatic steatosis presented with weight loss and progressive proteinuria. The presenting blood count was normal: white blood cells, 10.9 × 109/L; hemoglobin, 15.5 g/dL; platelet count, 236 × 109/L. No significant rouleaux formations were present on the peripheral blood smear. Calcium (9.28 mg/dL), blood urea nitrogen/creatinine (15/0.78 mg/dL), and protein/albumin (6.9/4.2 g/dL) were normal. The squelettal survey showed no lytic bone lesions. Serum protein electrophoresis and immunofixation electrophoresis showed no monoclonal component. Serum-free light chain assay revealed high levels of κ light chains (890 mg/L) and normal levels of λ light chains (9.8); κ-λ ratio was 90.8. Urine protein electrophoresis showed free κ-type Bence-Jones proteinuria (1.64 g/L). A bone marrow aspiration revealed a normal blast count (3%) and no dysplasia. Plasma cells constituted 20% of nucleated cells. The figure shows plasma cells demonstrating many Auer rod-like crystal inclusions in the cytoplasm (panel A) and a histiocyte engulfing numerous Auer rod-like inclusions (panel B). Fluorescence in situ hybridization studies revealed monosomy 13 and possibly monosomy 14 or deletion of IGH sequence. The patient was diagnosed with κ light chain multiple myeloma and was started on a bortezomib-based regimen.
To the best of our knowledge, this phenomenon is rare and is always associated with a κ-type paraprotein.
A 56-year-old woman with a history of dyslipidemia and hepatic steatosis presented with weight loss and progressive proteinuria. The presenting blood count was normal: white blood cells, 10.9 × 109/L; hemoglobin, 15.5 g/dL; platelet count, 236 × 109/L. No significant rouleaux formations were present on the peripheral blood smear. Calcium (9.28 mg/dL), blood urea nitrogen/creatinine (15/0.78 mg/dL), and protein/albumin (6.9/4.2 g/dL) were normal. The squelettal survey showed no lytic bone lesions. Serum protein electrophoresis and immunofixation electrophoresis showed no monoclonal component. Serum-free light chain assay revealed high levels of κ light chains (890 mg/L) and normal levels of λ light chains (9.8); κ-λ ratio was 90.8. Urine protein electrophoresis showed free κ-type Bence-Jones proteinuria (1.64 g/L). A bone marrow aspiration revealed a normal blast count (3%) and no dysplasia. Plasma cells constituted 20% of nucleated cells. The figure shows plasma cells demonstrating many Auer rod-like crystal inclusions in the cytoplasm (panel A) and a histiocyte engulfing numerous Auer rod-like inclusions (panel B). Fluorescence in situ hybridization studies revealed monosomy 13 and possibly monosomy 14 or deletion of IGH sequence. The patient was diagnosed with κ light chain multiple myeloma and was started on a bortezomib-based regimen.
To the best of our knowledge, this phenomenon is rare and is always associated with a κ-type paraprotein.
For additional images, visit the ASH IMAGE BANK, a reference and teaching tool that is continually updated with new atlas and case study images. For more information visit http://imagebank.hematology.org.

This feature is available to Subscribers Only
Sign In or Create an Account Close Modal